If you are searching Mrkh Before And After you've in to the valid place. We have 9 Images about Mrkh Before And After like first page MRKH - YouTube, Pathological analysis of the endometriotic lesion in th | Open-i and also #mrkh | Tumblr. Here it is:
Khun Krit
krit khun
Pathological Analysis Of The Endometriotic Lesion In Th | Open-i
 openi.nlm.nih.gov
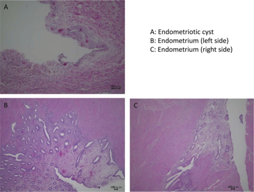
      openi.nlm.nih.gov     endometriotic jcm lesion pathological hemosiderin uterine ovary endometrial bilateral tissues horns deposit
First Page MRKH - YouTube
 www.youtube.com
      www.youtube.com               BLOG POSTS - Cosmetic Vaginal Surgery Atlanta | Urogyn Beverly Hills
 www.miklosandmoore.com
      www.miklosandmoore.com     buccal patient mucosa mrkh failed previously neovagina
#MRKH #Gyno Visit: The #Good, The #Bad, & The #Ugly - Bri Deep
 brideep.weebly.com
      brideep.weebly.com     mrkh gyno ugly bad visit
Hrush Achemyan Before Plastic Surgery
 mitchellslawncorp.com
      mitchellslawncorp.com     hrush achemyan aryana sayeed mitchellslawncorp
Four Cases Of Mayer–Rokitansky–Küster–Hauser Syndrome Treated Via Non
 obgyn.onlinelibrary.wiley.com
      obgyn.onlinelibrary.wiley.com               BEFORE/AFTER เสริมขมับ
 artebeauteclinic.com
      artebeauteclinic.com               #mrkh | Tumblr
 www.tumblr.com
      www.tumblr.com     mrkh
Buccal patient mucosa mrkh failed previously neovagina. Krit khun. Khun krit
Mrkh Before And After. There are any Mrkh Before And After in here.
 
